Атлас ультразвуковой анатомии
Цветной атлас
ультразвуковой анатомии
Бертольд Блок
СОДЕРЖАНИЕ
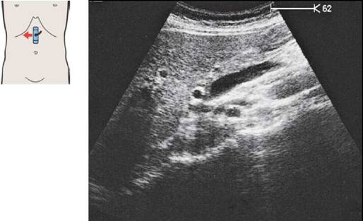
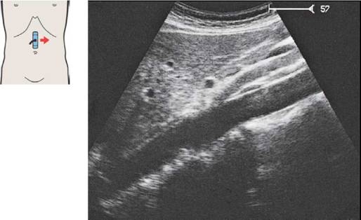
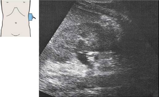
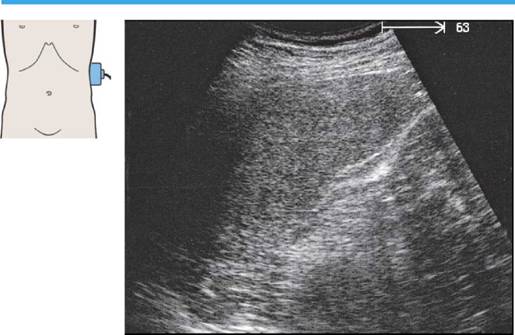
Плоскости сканирования
Стандартные проекции при трансабдоминальном сканировании
Рис. 2/3 Продольное сканирование верхней
половины живота по средней линии Продольное сканирование нижней половины живота по средней линии
Рис. 4/5 Продольное сканирование правой
стороны верхней половины живота Продольное сканирование левой стороны верхней половины живота
Рис. 6/7 Поперечное сканирование верхней
половины живота по средней линии Поперечное сканирование нижней половины живота по средней линии
Рис. 8/9 Поперечное сканирование правой
стороны верхней половины живота Поперечное сканирование левой стороны верхней половины живота
Рис. 10/11 Продольное сканирование боковых отделов живота справа Продольное сканирование боковых отделов живота слева
Рис. 12/13 Поперечное сканирование боковых отделов живота справа Поперечное сканирование боковых отделов живота слева

Продольное сканирование верхней половины живота по средней линии

Продольное сканирование нижней половины живота по средней линии


Продольное сканирование правой стороны верхней половины живота

Продольное сканирование левой стороны верхней половины живота


Поперечное сканирование верхней половины живота по средней линии

Поперечное сканирование нижней половины живота по средней линии


Поперечное сканирование правой стороны верхней половины живота

Поперечное сканирование левой стороны верхней половины живота


Продольное сканирование боковых отделов живота справа

Продольное сканирование боковых отделов живота слева


Поперечное сканирование боковых отделов живота справа

Поперечное сканирование боковых отделов живота слева

Аорта и нижняя полая вена при супраренальном поперечном сканировании, включая почечные сосуды
1 Прохождение аорты и нижней полой вены через диафрагму
2 Левая желудочная артерия
3 Чревный ствол
4 Чревный ствол
5 Печеночная артерия
6 Селезеночная артерия
7 Верхняя брыжеечная артерия
8 Верхняя брыжеечная артерия
9 Верхняя брыжеечная артерия и селезеночная вена
10 Левая почечная вена и правая почечная артерия
Аорта и нижняя полая вена при инфраренальном поперечном сканировании
11 Инфраренальный сегмент аорты и нижней полой вены
12 Инфраренальный сегмент аорты и нижней полой вены
13 Инфраренальный сегмент аорты и нижней полой вены
14 Инфраренальный сегмент аорты и нижней полой вены и верхняя брыжеечная артерия и вена
15 Инфраренальный сегмент аорты и нижней полой вены
16 Бифуркация аорты
17 Подвздошные артерии
18 Слияние подвздошных вен
19 Подвздошные сосуды
20 Подвздошные сосуды
21 Подвздошные сосуды
22 Подвздошные сосуды
23 Левые подвздошные сосуды
24 Левые подвздошные сосуды
Селезеночная артерия и вена при продольном сканировании
25 Аорта
26 Селезеночная артерия и левая желудочная артерия
27 Селезеночная артерия и селезеночная вена, чревный ствол
28 Селезеночная артерия и селезеночная вена, чревный ствол
29 Селезеночная артерия и селезеночная вена, почечная артерия и почечная вена
30 Селезеночная артерия и селезеночная вена, почечная артерия и почечная вена
Печеночная артерия при продольном сканировании
31 Артерии чревного ствола
32 Печеночная артерия и селезеночная вена
33 Печеночная артерия и верхняя брыжеечная вена
34 Печеночная артерия и воротная вена
Почечная артерия и вена при продольном сканировании
35 Аорта
36 Правая почечная артерия и левая почечная вена
37 Нижняя полая вена и правая почечная артерия
38 Правая почечная артерия и правая почечная вена
Правая почечная артерия и вена при поперечном сканировании
39 Место впадения почечной вены
40 Почечная вена
41 Почечная вена на уровне ворот почки, почечная артерия
42 Почечная артерия
Левая почечная артерия и вена при продольном сканировании
43 Нижняя полая вена
44 Правая почечная артерия и левая почечная вена
45 Аорта и левая почечная вена
46 Левые почечные сосуды, селезеночная артерия и вена
Сосуды ворот печени при продольном сканировании
47 Воротная вена, нижняя полая вена, правая почечная артерия
48 Воротная вена, нижняя полая вена, правая почечная артерия
49 Воротная вена, нижняя полая вена и общий желчный проток
50 Воротная вена и печеночная артерия
51 Печеночная артерия и верхняя брыжеечная вена
52 Печеночная артерия, верхняя брыжеечная вена и селезеночная вена
Сосуды ворот печени при поперечном сканировании
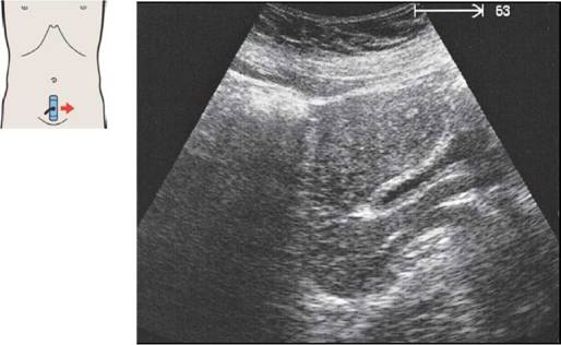
53 Печеночная артерия, воротная вена, нижняя полая вена
54 Печеночная артерия, общий желчный проток, воротная вена
55 Общий желчный проток, желчный пузырь, нижняя полая вена
56 Общий желчный проток, желчный пузырь, верхняя брыжеечная вена

1 Прохождение аорты и нижней полой вены через диафрагму

2 Левая желудочная артерия
Печеночная артерия при продольном сканировании

Место отхождения чревного ствола и его деление на ветви подвержено индивидуальным вариационным изменениям.

Печеночная артерия идет вверх и вправо и направляется вдоль нижнего края печени к ее воротам.

33 Печеночная артерия и верхняя брыжеечная вена

21 Печеночная артерия и воротная вена
Печеночная артерия при продольном сканировании

Продольное сканирование между аортой и нижней полой веной дает типичный вид сечения четырех сосудов: печеночной артерии, места слияния селезеночной и верхней брыжеечной вен, левой почечной вены и правой почечной артерии.

Продольное сканирование через нижнюю полую вену дает типичный вид сечения следующих сосудов: нижней полой вены, воротной вены, печеночной артерии и почечной артерии.


23 Правая почечная артерия и левая почечная вена
Почечная артерия и вена при продольном сканировании

Левая почечная вена проходит между аортой и верхней брыжеечной артерией, что приводит к физиологической компрессии этого венозного ствола.

Сечение правой почечной артерии может быть обнаружено между аортой и нижней полой веной. Сразу ниже почечной артерии определяется левая почечная вена, а также продольный срез верхней брыжеечной вены.

37 Нижняя полая вена и правая почечная артерия

25 Правая почечная артерия и правая почечная вена
Почечная артерия и вена при продольном сканировании

Обычно правая почечная артерия образует вдавление на задней стенке нижней полой вены.

Диаметр почечных вен, как правило, вдвое больше, чем почечных артерий.

39 Место впадения почечной вены

27 Почечная вена
Правая почечная артерия и вена при поперечном сканировании

В большинстве случаев место впадения правой почечной вены в нижнюю полую вену визуализируется отчетливо.

При последовательном поперечном сканировании нижней полой вены можно наблюдать, как почечная вена отделяется от нее и направляется в сторону почки.

41 Почечная вена на уровне ворот почки, почечная артерия

29 Почечная артерия
Правая почечная артерия и вена при поперечном сканировании

Почечная артерия идет так же, как и почечная вена с небольшим каудальным отклонением то нее.

Почечная артерия расположена сзади и каудальнее почечных вен.

43 Нижняя полая вена

31 Правая почечная артерия и левая почечная вена
Левая почечная артерия и вена при продольном сканировании

Правая почечная артерия проходит позади нижней полой вены, образуя вдавление на ее задней поверхности.

В этой плоскости сканирования виден срез левой почечной вены и правой почечной артерии, расположенные между аортой и нижней полой веной.

45 Аорта и левая почечная вена

33 Левые почечные сосуды, селезеночная артерия и вена
Левая почечная артерия и вена при продольном сканировании

Левая почечная вена проходит между аортой и верхней брыжеечной артерией.

Нередко левые почечные сосуды! трудно визуализировать из-за их экранизации газами кишечника.

47 Воротная вена, нижняя полая вена, правая почечная артерия

48 Воротная вена, нижняя полая вена, правая почечная артерия
Сосуды ворот печени при продольном сканировании

Триада, состоящая из воротной вены, нижней полой вены! и правой почечной артерии при продольном сканировании образует типичный анатомический ориентир.

Если идентифицирована триада, состоящая из воротной вены, нижней полой вены и правой почечной артерии, на этом же срезе можно увидеть продольный срез общего желчного протока.

49 Воротная вена, нижняя полая вена и общий желчный проток

37 Воротная вена и печеночная артерия
Сосуды ворот печени при продольном сканировании

Общий желчный проток проходит через головку поджелудочной железы! и визуализируется кпереди от нижней полой вены.

Воротная вена и печеночная артерия идут рядом друг с другом позади головки поджелудочной железы.

51 Печеночная артерия и верхняя брыжеечная вена

52 Печеночная артерия, верхняя брыжеечная вена и селезеночная вена
Сосуды ворот печени при продольном сканировании

При сканировании брыжеечной вены в продольном направлении изображение включает в себя сечение печеночной артерии, отклоняющейся в цефалическом направлении, правой печеночной артерии и левой печеночной вены, расположенных сзади.

При сканировании брыжеечной артерии в продольном направлении изображение обычно включает в себя срез печеночной артерии, селезеночной вены и левой почечной вены.

53 Печеночная артерия, воротная вена, нижняя полая вена

41
Печеночная артерия, общий желчный проток, воротная вена
Сосуды ворот печени при поперечном сканировании

Воротная вена проходит между нижней полой веной и печеночной артерией.

Печеночная артерия в воротах печени отклоняется в цефалическом направлении.

55 Общий желчный проток, желчный пузырь, нижняя полая вена

56 Общий желчный проток, желчный пузырь, верхняя брыжеечная вена
Сосуды ворот печени при поперечном сканировании

Общий желчный проток идентифицируется медиально от желчного пузыря и кпереди от нижней полой вены.

На коротком расстоянии общий желчный проток проходит параллельно верхней брыжеечной вене, затем отклоняется латерально в направлении дуоденального сосочка.
Печень при продольном сканировании
57 Левая доля печени, латеральный сегмент, II и III субсегменты
58 Левая доля печени, круглая связка, граница между медиальным и латеральным сегментами
59 Левая доля печени, круглая связка, граница между медиальным и латеральным сегментами
60 Левая печеночная вена, круглая связка, граница между медиальным и латеральным сегментами, хвостатая доля
61 Левая печеночная вена, круглая связка, граница между медиальным и латеральным сегментами, хвостатая доля
62 Левая печеночная вена, круглая связка, граница между медиальным и латеральным сегментами, хвостатая доля
63 Левая печеночная вена, круглая связка, граница между медиальным и латеральным сегментами, хвостатая доля
64 Медиальный сегмент, IV субсегмент, квадратная доля
65 Желчный пузырь, воротная вена, нижняя полая вена, граница между медиальным и передним сегментами
66 Средняя печеночная вена, граница между медиальным и передним сегментами
67 Передний сегмент, V и VIII субсегменты
68 Правая печеночная вена, граница между передним и задним сегментами
69 Задний сегмент, VI и VII субсегменты
70 Задний сегмент, латеральная часть печени, почка
Левые сегменты печени при поперечном сканировании
71 Левая доля печени, латеральный сегмент,
сердце
72 Левая доля печени, латеральный сегмент,
сердце
73 Левая доля печени, латеральный сегмент, печеночные вены
74 Левая доля печени, латеральный сегмент, хвостатая доля
75 Левая доля печени, латеральный сегмент, хвостатая доля
76 Левая доля печени, латеральный сегмент, левая ветвь воротной вены
77 Левая доля печени, латеральный сегмент, круглая связка
78 Левая доля печени, III субсегмент, круглая связка
Центральные сегменты печени при поперечном сканировании
79 Медиальный и передний сегменты печени, просвет печеночных вен
80 Медиальный и передний сегменты печени, просвет печеночных вен
81 Медиальный и передний сегменты печени, печеночные вены, хвостатая доля
82 Медиальный и передний сегменты печени, печеночные вены, хвостатая доля
83 Медиальный и передний сегменты печени, хвостатая доля
84 Медиальный и передний сегменты печени, левая ветвь воротной вены, хвостатая доля
85 Медиальный и передний сегменты печени, левая ветвь воротной вены, хвостатая доля
86 Медиальный и передний сегменты печени, левая ветвь воротной вены, хвостатая доля
87 Медиальный и передний сегменты печени, бифуркация воротной вены
88 Медиальный и передний сегменты печени, бифуркация воротной вены
89 Медиальный и передний сегменты печени, правая ветвь воротной вены
90 Медиальный и передний сегменты печени, правая и левая ветви воротной вены
91 Медиальный и передний сегменты печени, правая и левая ветви воротной вены
92 Медиальный и передний сегменты печени, квадратная доля, круглая связка, воротная вена
93 Медиальный и передний сегменты печени, квадратная доля, круглая связка, воротная вена
94 Медиальный и передний сегменты печени, квадратная доля, круглая связка, желчный пузырь
95 Медиальный и передний сегменты печени, квадратная доля, круглая связка, желчный пузырь
96 Нижний край печени, почка, желчный пузырь, круглая связка
Правые сегменты печени при поперечном сканировании
97 Задний сегмент, верхний субсегмент
98 Задний сегмент, воротная вена
99 Задний сегмент, нижний субсегмент, почка
100 Задний сегмент, нижний край

57 Левая доля печени, латеральный сегмент, II и III субсегменты

58 Левая доля печени, круглая связка, граница между медиальным и латеральным сегментами
Печень при продольном сканировании

По анатомическим критериям в печени выделяют левую и правую доли. Левой доле соответствует латеральный сегмент; правая доля состоит из медиального, переднего и заднего сегментов.

По функциональным критериям латеральный и медиальный сегменты! относятся к левой доле печени, а передний и задний - к правой.

59 Левая доля печени, круглая связка, граница между медиальным и латеральным сегментами

60 Левая печеночная вена, круглая связка, граница между медиальным и латеральным сегментами, хвостатая доля
Печень при продольном сканировании

Латеральный сегмент печени состоит из расположенного краниально II субсегмента и расположенного каудально III субсегмента.

Границей между латеральным и медиальными сегментами, т.е. между анатомическими левой и правой долями печени, является левая печеночная вена.

61 Левая печеночная вена, круглая связка, граница между медиальным и латеральным сегментами, хвостатая доля

62 Левая печеночная вена, круглая связка, граница между медиальным и латеральным сегментами, хвостатая доля
Печень при продольном сканировании

Хвостатая доля соответствует первому субсегменту медиального сегмента и расположена латерально и кпереди от нижней полой вены. Большая часть медиального сегмента соответствует IV субсегменту.

Границей между латеральным и медиальным сегментами, т.е. между левой и правой долями печени, выделяемых анатомически, является круглая связка.

63 Левая печеночная вена, круглая связка, граница между медиальным и латеральным сегментами, хвостатая доля

53 Медиальный сегмент, IV субсегмент, квадратная доля
Печень при продольном сканировании

Круглая связка (облитерированная пупочная вена) расположена между левой ветвью воротной вены и передним нижним краем печени.

Каудальная часть медиального сегмента квадратной доли расположена между круглой связкой и желчным пузырем. Квадратная доля является частью IV субсегмента.

65 Желчный пузырь, воротная вена, нижняя полая вена, граница между медиальным и передним сегментами

66 Средняя печеночная вена, граница между медиальным и передним сегментами
Печень при продольном сканировании

Плоскость между желчным пузырем и нижней полой веной является границей между медиальным и передним сегментами печени.

Средняя печеночная вена является границей между медиальным и передним сегментами в краниальной части печени.

67 Передний сегмент, V и VIII субсегменты

68 Правая печеночная вена, граница между передним и задним сегментами
Печень при продольном сканировании

Передний сегмент состоит из VIII субсегмента, расположенного краниально, и V субсегмента, расположенного каудально.

Правая печеночная вена и место деления правой ветви воротной вены образуют плоскость, являющуюся границей между передним и задним сегментами.

69 Задний сегмент, VI и VII субсегменты

59 Задний сегмент, латеральная часть печени, почка
Печень при продольном сканировании

Задний сегмент состоит из VII субсегмента, расположенного краниально и VI субсегмента, расположенного каудально.

Протяженность каудальной границы правой доли печени подвержена индивидуальным изменениям.

71 Левая доля печени, латеральный сегмент, сердце

61 Левая доля печени, латеральный сегмент, сердце
Левые сегменты печени при поперечном сканировании

Левая доля печени непосредственно прилежит к сердцу и отделена от него только диафрагмой.

Анатомически левая доля печени латеральному печеночному сегменту.

73 Левая доля печени, латеральный сегмент, печеночные вены

63 Левая доля печени, латеральный сегмент, хвостатая доля
Левые сегменты печени при поперечном сканировании

Левая печеночная вена разграничивает медиальный и латеральный сегменты печени.

Краниальная часть латерального сегмента печени обозначается как II субсегмент.

75 Левая доля печени, латеральный сегмент, хвостатая доля

76 Левая доля печени, латеральный сегмент, левая ветвь воротной вены
Левые сегменты печени при поперечном сканировании

Хвостатая доля рассматривается как отдельное образование и обозначается как I субсегмент.

При сканировании через левую долю печени левая ветвь воротной вены! является маркером границы! между краниальным и каудальным субсегментами этой доли.

77 Левая доля печени, латеральный сегмент, круглая связка

67 Левая доля печени, III субсегмент, круглая связка
Левые сегменты печени при поперечном сканировании

Круглая связка начинается непосредственно от левой ветви воротной вены и идет вперед и книзу.

На поперечном сечении круглая связка имеет треугольную или полигональную форму. Она разграничиват III субсегмент и квадратную долю, которая обозначается как IVb субсегмент.

79 Медиальный и передний сегменты печени, просвет печеночных вен

80 Медиальный и передний сегменты печени, просвет печеночных вен
Центральные сегменты печени при поперечном сканировании

Печеночные вены сходятся и впадают в нижнюю полую вену сразу ниже диафрагмы.

Место впадения печеночных вен в нижнюю полую вену при поперечном сканировании имеет характерный вид.

81 Медиальный и передний сегменты печени, печеночные вены, хвостатая доля

82 Медиальный и передний сегменты печени, печеночные вены, хвостатая доля
Центральные сегменты печени при поперечном сканировании

Верхний полюс хвостатой доли прилежит к месту впадения печеночных вен в нижнюю полую вену.

Три печеночные вены! разграничивают латеральный, медиальный, передний и задний сегменты! печени.

83 Медиальный и передний сегменты печени, хвостатая доля

84 Медиальный и передний сегменты печени, левая ветвь воротной вены, хвостатая доля
Центральные сегменты печени при поперечном сканировании

Борозда венозной связки отделяет хвостатую доли от II субсегмента латеральной доли печени.

Хвостатая доля печени обозначается как I субсегмент.

85 Медиальный и передний сегменты печени, левая ветвь воротной вены, хвостатая доля

86 Медиальный и передний сегменты печени, левая ветвь воротной вены, хвостатая доля
Центральные сегменты печени при поперечном сканировании

Хвостатая доля расположена между нижней полой веной и левой ветвью воротной вены.

Верхние сегменты! латеральной и медиальной долей печени обозначают как второй субсегмент и 1\/а субсегмент, соответственно.

88 Медиальный и передний сегменты печени, бифуркация воротной вены
87 Медиальный и передний сегменты печени, бифуркация воротной вены

Центральные сегменты печени при поперечном сканировании

Верхние субсегменты! переднего и заднего сегментов печени обозначают как VIII и VII субсегменты, соответственно.

Бифуркация воротной вены! расположена сразу кпереди от нижней полой вены!.

89 Медиальный и передний сегменты печени, правая ветвь воротной вены

90 Медиальный и передний сегменты печени, правая и левая ветви воротной вены
Центральные сегменты печени при поперечном сканировании

Деление воротной вены! на правую и левую ветви приблизительно соответствует границам между верхними и нижними субсегментами.

Деление воротной вены на правую и левую ветви на ультразвуковом изображении имеет вид оленьих рогов.

91 Медиальный и передний сегменты печени, правая и левая ветви воротной вены

92 Медиальный и передний сегменты печени, квадратная доля, круглая связка, воротная вена
Центральные сегменты печени при поперечном сканировании

Правая доля воротной вены! сразу после бифуркации немного отклоняется в каудальном направлении.

Круглая связка лежит в плоскости, разграничивающей правую и левую долю печени.

93 Медиальный и передний сегменты печени, квадратная доля, круглая связка, воротная вена

94 Медиальный и передний сегменты печени, квадратная доля, круглая связка, желчный пузырь
Центральные сегменты печени при поперечном сканировании

Нижние субсегменты латерального, медиального, переднего и заднего сегментов печени обозначают как III, IVb, V и VI субсегменты соответственно.

Желчный пузырь и круглая связка ограничивают квадратную долю в ее поперечном сечении.

95 Медиальный и передний сегменты печени, квадратная доля, круглая связка, желчный пузырь

85 Нижний край печени, почка, желчный пузырь, круглая связка
Центральные сегменты печени при поперечном сканировании

Плоскость нижняя полая вена - желчный пузырь является границей между правой и левой долями печени по функциональным критериям.

Форма нижней поверхности печени обусловлена прилежанием к ней почки, желчного пузыря и выраженностью борозды! круглой связки.

97 Задний сегмент, верхний субсегмент

87 Задний сегмент, воротная вена
Правые сегменты печени при поперечном сканировании

Верхний субсегмент заднего сегмента печени обозначают как VII субсегмент.

Местоположение правой ветви воротной вены! приблизительно соответствует границе между VII субсегментом, расположенным краниально и V субсегментом, расположенным каудально.

99 Задний сегмент, нижний субсегмент, почка

89 Задний сегмент, нижний край
Правые сегменты печени при поперечном сканировании

Нижний субсегмент заднего сегмента печени обозначают как VI субсегмент.

Местоположение нижней границы правой доли чрезвычайно изменчиво.
Желчный пузырь при поперечном сканировании
101 Правая ветвь воротной вены, венозная связка
102 Шейка желчного пузыря
103 Граница между телом и шейкой желчного пузыря
104 Тело желчного пузыря
105 Дно желчного пузыря
106 Дно желчного пузыря, нижняя поверхность
Желчный пузырь при продольном сканировании
107 Нижняя полая вена, 12-ти перстная кишка, бифуркация воротной вены
108 Правая ветвь воротной вены, двенадцатиперстная кишка, тело желчного пузыря
109 Правая ветвь воротной вены, тело и шейка желчного пузыря
110 Тело и дно желчного пузыря, почка
111 Дно желчного пузыря, почка
112 Дно желчного пузыря, почка
Части желчного пузыря
113 Желчный пузырь, спиральные складки
114 Слои желчного пузыря

101 Правая ветвь воротной вены, венозная связка

92 Шейка желчного пузыря
Желчный пузырь при продольном сканировании

Междолевая борозда (обозначена *), расположенная кпереди от правой ветви воротной вены, является анатомическим ориентиром для идентификации желчного пузыря.

Шейка желчного пузыря расположена сразу каудальнее правой ветви воротной вены! и междолевой борозды.

103 Граница между телом и шейкой желчного пузыря

94 Тело желчного пузыря
Желчный пузырь при продольном сканировании

При поперечном сканировании через тело желчного пузыря 12-ти перстная кишка визуализируется между желчным пузырем и нижней полой веной.

Пузырьки газа 12-ти перстной кишки могут помочь идентифицировать свободную перитонеальную поверхность желчного пузыря.

105 Дно желчного пузыря

96 Дно желчного пузыря, нижняя поверхность
Желчный пузырь при продольном сканировании

Дно желчного пузыря может достигать передней брюшной стенки, но может залегать и глубоко в печени.

Печеночный изгиб ободочной кишки нередко образует вдавление на нижней поверхности дна желчного пузыря.

107 Нижняя полая вена, 12-ти перстная кишка, бифуркация воротной вены

108 Правая ветвь воротной вены, двенадцатиперстная кишка, тело желчного пузыря.
Желчный пузырь при продольном сканировании

Нижняя полая вена, бифуркация воротной вены! и эхогенный тяж междолевой борозды! являются важными анатомическими ориентирами для поиска желчного пузыря при его продольном сканировании.

12-ти перстная кишка, находится сразу позади желчного пузыря и кпереди от печеночного изгиба ободочной кишки.

109 Правая ветвь воротной вены, тело и шейка желчного пузыря

100 Тело и дно желчного пузыря, почка
Желчный пузырь при продольном сканировании

Форма и расположение желчного пузыря чрезвычайно вариабельны, однако, его шейка почти всегда находится в области ворот печени, каудальнее правой ветви воротной вены.

Желчный пузырь у здоровых людей имеет грушевидную форму и заполнен эхонегативным содержимым.

111 Дно желчного пузыря, почка

102 Дно желчного пузыря, почка
Желчный пузырь при продольном сканировании

Между желчным пузырем и почкой при продольном сканировании визуализируется различный по ширине «клин» ткани печени.

При более латеральном сканировании желчный пузырь может непосредственно прилежать к почке.

113 Желчный пузырь, спиральные складки

104 Слои желчного пузыря
Части желчного пузыря

При боковом сканировании желчного пузыря нередко отчетливо визуализируются спиральные складки в его шейке.

В передней стенке желчного пузыря можно различить три слоя. Граница между задней стенкой пузыря и 12-ти перстной кишкой может идентифицироваться нечетко.
ЖЕЛЕЗА
Поджелудочная железа при продольном сканировании
115 12-ти перстная кишка расположена латеральнее головки поджелудочной железы
116 Головка поджелудочной железы, общий желчный проток
117 Головка поджелудочной железы, общий желчный проток
118 Головка поджелудочной железы, сосуды ворот печени, нижняя полая вена
119 Головка поджелудочной железы, верхняя брыжеечная вена, крючковидный отросток
120 Головка поджелудочной железы, верхняя брыжеечная вена, крючковидный отросток
121 Тело поджелудочной железы, селезеночная вена
122 Тело поджелудочной железы, селезеночная вена, верхняя брыжеечная артерия, аорта
123 Тело поджелудочной железы, селезеночная вена
124 Хвост поджелудочной железы, селезеночные артерия и вена, почечные артерия и вена
125 Хвост поджелудочной железы, селезеночные артерия и вена, почечные артерия и вена
126 Хвост поджелудочной железы
Головка поджелудочной железы при поперечном сканировании
127 Краниальный срез головки поджелудочной железы, нижняя полая вена, селезеночная вена
128 Головка поджелудочной железы, нижняя полая вена, верхняя брыжеечная вена
129 Головка поджелудочной железы, нижняя полая вена, верхняя брыжеечная вена, крючковидный отросток, общий желчный проток
130 Головка поджелудочной железы, нижняя полая вена, верхняя брыжеечная вена, крючковидный отросток, желчный пузырь
Тело поджелудочной железы при поперечном сканировании
131 Краниальный срез тела поджелудочной железы, чревный ствол
132 Тело поджелудочной железы, селезеночная вена
133 Тело поджелудочной железы, селезеночная вена, верхняя брыжеечная артерия, аорта
134 Левая почечная артерия и левая почечная вена, верхняя брыжеечная артерия, верхняя брыжеечная вена, аорта
Хвост поджелудочной железы при поперечном сканировании
135 Хвост поджелудочной железы, селезеночная артерия
136 Хвост поджелудочной железы, селезеночная вена
137 Хвост поджелудочной железы, газовый пузырь желудка
138 Хвост поджелудочной железы
Трансспленальное продольное сканирование хвоста поджелудочной железы
139 Хвост поджелудочной железы, селезенка, почка
140 Селезенка, хвост поджелудочной железы, почка
141 Селезенка, хвост поджелудочной железы, почка
142 Сканирование по передней поверхности хвоста поджелудочной железы, селезенки, желудка
Трансспленальное поперечное сканирование хвоста поджелудочной железы
143. Селезенка, хвост поджелудочной железы, почка
144. Селезенка, хвост поджелудочной железы, почка
Части поджелудочной железы
145. Главный панкреатический проток при поперечном сканировании
146. Главный панкреатический проток при продольном сканировании

115 12-ти перстная кишка расположена латеральнее головки поджелудочной железы

116 Головка поджелудочной железы, общий желчный проток
Поджелудочная железа при продольном сканировании

Головка поджелудочной железы с латеральной стороны! окружена петлей 12-ти перстной кишки.

В краниальном направлении от головки поджелудочной железы! расположен общий желчный проток, печеночная артерия и воротная вена.

117 Головка поджелудочной железы, общий желчный проток

118 Головка поджелудочной железы, сосуды ворот печени, нижняя полая вена
Поджелудочная железа при продольном сканировании

Общий желчный проток проходит позади головки поджелудочной железы! и направляется к сосочку 12-ти перстной кишки, который при ультразвуковом исследовании обычно не может быть визуализирован.

Головка поджелудочной железы! расположена напротив передней поверхности нижней полой вены и с краниальной стороны! ограничена стволом воротной вены!.

119 Головка поджелудочной железы, верхняя брыжеечная вена, крючковидный отросток

120 Головка поджелудочной железы, верхняя брыжеечная вена, крючковидный отросток
Поджелудочная железа при продольном сканировании

Крючковидный отросток расположен позади брыжеечной вены, находясь между ней и нижней полой веной.

Верхняя брыжеечная вена отграничивает головку и тело поджелудочной железы!.

121 Тело поджелудочной железы, селезеночная вена

122 Тело поджелудочной железы, селезеночная вена, верхняя брыжеечная артерия, аорта
Поджелудочная железа при продольном сканировании

Тело поджелудочной железы! является наиболее узкой частью органа в вентродорсальной плоскости.

Чревный ствол расположен сразу над телом поджелудочной железы. Селезеночная вена и тело поджелудочной железы! расположены! над верхне-брыжеечной артерией.

123 Тело поджелудочной железы, селезеночная вена

124 Хвост поджелудочной железы, селезеночные артерия и вена, почечные артерия и вена
Поджелудочная железа при продольном сканировании

Левый край аорты служит границей между телом и хвостом поджелудочной железы.

При продольном сканировании области перехода тела поджелудочной железы! в хвост визуализируются поперечные срезы четырех сосудов: селезеночной артерии, селезеночной вены, почечной артерии, почечной вены.

125 Хвост поджелудочной железы, селезеночные артерия и вена, почечные артерия и вена

126 Хвост поджелудочной железы
Поджелудочная железа при продольном сканировании

Нередко при поперечном сканировании хвост поджелудочной железы! имеет округлую форму.

Хвост поджелудочной железы может быть полностью визуализирован только при хороших акустических условиях.

127 Краниальный срез головки поджелудочной железы, нижняя полая вена, селезеночная вена

128 Головка поджелудочной железы, нижняя полая вена, верхняя брыжеечная вена
Головка поджелудочной железы при поперечном сканировании

Тело поджелудочной железы! лежит над верхне-брыжеечной веной. Часть поджелудочной железы!, лежащая правее верхней брыжеечной вены! обозначается как головка поджелудочной железы.

Крючковиднь>1й отросток «вклинивается» между нижней полой и верхней брыжеечной венами.

129 Головка поджелудочной железы, нижняя полая вена, верхняя брыжеечная вена, крючковидный отросток, общий желчный проток

130 Головка поджелудочной железы, нижняя полая вена, верхняя брыжеечная вена, крючковидный отросток, желчный пузырь
Головка поджелудочной железы при поперечном сканировании

При поперечном сканировании общий желчный проток визуализируется по правому краю головки поджелудочной железы.

Головка поджелудочной железы! расположена между печенью, желчным пузырем, нижней полой веной и верхней брыжеечной веной.

131 Краниальный срез тела поджелудочной железы, чревный ствол

132 Тело поджелудочной железы, селезеночная вена
Тело поджелудочной железы при поперечном сканировании

С краниальной стороны! тело поджелудочной железы! ограничено двумя ветвями чревного ствола - печеночной артерией и селезеночной артерией.

В норме контуры верхнего и нижнего краев поджелудочной железы непрерывна на всем протяжении от головки до тела.

133 Тело поджелудочной железы, селезеночная вена, верхняя брыжеечная артерия, аорта

134 Левая почечная артерия и левая почечная вена, верхняя брыжеечная артерия, верхняя брыжеечная вена, аорта
Тело поджелудочной железы при поперечном сканировании

Основным анатомическим ориентиром при поиске поджелудочной железы! является селезеночная вена. Верхняя брыжеечная артерия распложена между селезеночной веной и аортой.

Обычно, если при поперечном сканировании видены почечные сосуды, поджелудочная железа уже не визуализируется.

135 Хвост поджелудочной железы, селезеночная артерия

136 Хвост поджелудочной железы, селезеночная вена

135 Хвост поджелудочной железы, селезеночная артерия

136 Хвост поджелудочной железы, селезеночная вена
Хвост поджелудочной железы при поперечном сканировании

Хвост поджелудочной железы! расположен достаточно глубоко, слева от аорты.

Хвост поджелудочной железы изгибается в заднем направлении по отношению к телу органа и занимает пространство между желудком, верхним полюсом почки и воротами селезенки.

137 Хвост поджелудочной железы, газовый пузырь желудка

138 Хвост поджелудочной железы
Хвост поджелудочной железы при поперечном сканировании

Граница между телом и хвостом поджелудочной железы! находится на уровне левого края аорты.

Хвост поджелудочной железы - это наиболее сложный для ультразвукового сканирования отдел органа.

139 Хвост поджелудочной железы, селезенка, почка

140 Селезенка, хвост поджелудочной железы, почка
Трансспленальное продольное сканирование хвоста поджелудочной железы

При сканировании через межреберья хвост поджелудочной железы! может быть визуализирован за селезенкой.

Хвост поджелудочной железы расположен между селезенкой (ближе к ее воротам) и почкой.

141 Селезенка, хвост поджелудочной железы, почка

142 Сканирование по передней поверхности хвоста поджелудочной железы, селезенки, желудка
Трансспленальное продольное сканирование хвоста поджелудочной железы

Отражение ультразвука от газа, содержащегося в кишечных петлях, нередко затрудняет визуализацию хвоста поджелудочной железы.

Кпереди от хвоста поджелудочной железы! расположен желудок, также являющийся причиной возникновения многочисленных артефактов.

143. Селезенка, хвост поджелудочной железы, почка

144. Селезенка, хвост поджелудочной железы, почка
Трансспленальное поперечное сканирование хвоста поджелудочной железы

Для визуализации хвоста поджелудочной железы! при поперечном сканировании в качестве акустического окна может быть использована селезенка.

Хвост поджелудочной железы расположен в углу, образованном селезенкой и почкой.

145. Главный панкреатический проток при поперечном сканировании

146. Главный панкреатический проток при продольном сканировании
Части поджелудочной железы

Направление главного панкреатического протока чрезвычайно вариабельно. Обычно он расположен в вентро-краниальной части паренхимы! и на ультразвуковом изображении представлен двумя параллельными эхогенными линиями.

При этой плоскости сканирования главный панкреатический проток выглядит как тонкая тубулярная структура с внутренним диаметром до 3 мм. Он расположен несколько кпереди от центральной части железы.
Селезенка при продольном сканировании
147. Селезенка, почка
148. Ворота селезенки, ветви селезеночной вены
149. Селезенка, желудок
150. Селезенка, желудок
Селезенка при поперечном сканировании
151. Селезенка, почка, поджелудочная железа, желудок
152. Селезенка, почка, поджелудочная железа
153. Селезенка, желудок
154. Селезенка, тонкая кишка
Части селезенки
155. Добавочная селезенка
156. Добавочная селезенка

147. Селезенка, почка

148. Ворота селезенки, ветви селезеночной вены
Селезенка при продольном сканировании

При продольном сканировании верхней части левого бокового канала селезенка визуализируется как образование треугольной формы! с закругленными углами, расположенное между верхним полюсом почки и диафрагмой.

Сканирование на уровне ворот селезенки позволяет получить наибольшее по площади продольное сечение органа.

149. Селезенка, желудок

150. Селезенка, желудок
Селезенка при продольном сканировании

Селезенка расположена латеральнее и кзади от верхней трети большой кривизны желудка.

При сканировании через переднюю стенку левого бокового канала селезенка имеет вид полумесяца.

151. Селезенка, почка, поджелудочная железа, желудок

152. Селезенка, почка, поджелудочная железа
Селезенка при поперечном сканировании

Поперечное сканирование через верхние отделы! левого бокового канала позволяет визуализировать типичную триаду: селезенку, почку и желудок.

Хвост поджелудочной железы обычно используется как ориентир для визуализации ворот селезенки после идентификации селезеночных сосудов.

153. Селезенка, желудок

154. Селезенка, тонкая кишка
Селезенка при поперечном сканировании

Селезенка может иметь глубоко вдающиеся перегородки.

Петли тонкой кишки обычно расположены медиальнее нижнего полюса селезенки.

155. Добавочная селезенка

156. Добавочная селезенка
Части селезенки

Добавочные селезенки обычно обнаруживаются в области ворот.

Иногда можно увидеть добавочную селезенку, расположенную у нижнего полюса органа.
Почки
Продольное сканирование правой почки сзади кпереди
157. Почка, печень
158. Почка, печень, изгиб ободочной кишки
159. Почка, почечная вена, печень
160. Почка, почечная вена, печень
Поперечное сканирование правой почки сверху вниз
161. Почка, печень, большая поясничная мышца
162. Квадратная мышца поясницы
Продольное сканирование правой почки справа налево
163. Почка, печень
164. Почка, печень, изгиб ободочной кишки
165. Почка, почечная вена, ободочная кишка
166. Почка, почечная вена, ободочная кишка
Поперечное сканирование правой почки сверху вниз
167. Почка, почечная вена, нижняя полая вена, печень
168. Почка, почечная вена, почечная артерия, нижняя полая вена, печень
Продольное сканирование левой почки сзади кпереди
169. Почка, селезенка, поясничная мышца
170. Почка, селезенка, поясничная мышца
171. Почка, селезенка, поясничная мышца
172. Почка, почечная вена, селезенка, аорта
Поперечное сканирование левой почки сверху вниз
173. Почка, селезенка, газ в кишечнике
174. Почка, селезенка, поясничная мышца
Части почек
175. Почечные пирамиды
176. Собирательная система почки

157. Почка, печень

152 . Почка, печень, изгиб ободочной кишки
Продольное сканирование правой почки сзади кпереди

Печень служит акустическим окном при сканировании правой почки.

Эхогенность центрального комплекса почки обусловлена суммарным эффектом чашечно-лоханочной системы, кровеносных и лимфатических сосудов, жировой ткани и почечного синуса.

159. Почка, почечная вена, печень

154 . Почка, почечная вена, печень
Продольное сканирование правой почки сзади кпереди

Во время вдоха почки опускаются вниз по передней поверхности поясничных мышц.

Капсула почки при ультразвуковом исследовании не визуализируется.

161. Почка, печень, большая поясничная мышца

156 . Квадратная мышца поясницы
Поперечное сканирование правой почки сверху вниз

Задняя поверхность правой почки достигает угла между позвоночным столбом, мышцами спины и правой доли печени.

Почка расположена кпереди от квадратной мышцы поясницы и латерально по отношению к большой поясничной мышце.

163. Почка, печень

158 . Почка, печень, изгиб ободочной кишки
Продольное сканирование правой почки справа налево

В отличие от левой правая почка может быть просканирована с передней поверхности благодаря использованию печени в качестве акустического окна.

Правая доля печени прилежит к почке спереди. Печеночный изгиб ободочной кишки и двенадцатиперстная кишка также находятся кпереди от нижней половины почки.

165. Почка, почечная вена, ободочная кишка

160 . Почка, почечная вена, ободочная кишка
Продольное сканирование правой почки справа налево

Ободочная кишка лежит под нижним полюсом правой почки.

Правая почечная вена идет наискось от ворот почки до нижней полой вены.

167. Почка, почечная вена, нижняя полая вена, печень

168. Почка, почечная вена, почечная артерия, нижняя полая вена, печень
Поперечное сканирование правой почки сверху вниз

Почечная вена впадает в нижнюю полую вену на уровне верхнего полюса почки.

Почечная артерия отходит от аорты и входит в ворота почки. По отношению к почечной вене артерия лежит дорсо-каудально.

169. Почка, селезенка, поясничная мышца

164 . Почка, селезенка, поясничная мышца
Продольное сканирование левой почки сзади кпереди

Для сканирования левой почки нет хорошего акустического окна.

Селезенка визуализируется латеральнее почки приблизительно на уровне ее средней трети.

171. Почка, селезенка, поясничная мышца

172. Почка, почечная вена, селезенка, аорта
Продольное сканирование левой почки сзади кпереди

Нижняя половина левой почки с латеральной стороны! закрыта нисходящей ободочной кишкой и ее селезеночным изгибом.

При продольном сканировании через левый боковой канал аорта визуализируется в нижней части изображения.

173. Почка, селезенка, газ в кишечнике

174. Почка, селезенка, поясничная мышца
Поперечное сканирование левой почки сверху вниз

Трансперитонеальному сканированию левой почки препятствуют ребра.

Задняя поверхность левой почки достигает угла между позвоночным столбом, мышцами спины и селезенкой.

175. Почечные пирамиды

176. Собирательная система почки
Части почек

Воображаемая линия, соединяющая основания гипоэхогенных медуллярных пирамид на ультразвуковом изображении служит границей между мозговым и корковым веществом почки.

Форсирование диуреза приводит к заполнению собирательной системы! почки и ее расширению.
Продольное сканирование правого надпочечника справа налево
177. Почки, печень
178. Почки, печень
179. Надпочечник, печень
180. Надпочечник, нижняя полая вена, почечная артерия
Поперечное сканирование правого надпочечника
181. Почки, нижняя полая вена
182. Почки, почечная вена, нижняя полая вена
183. Почечная вена, нижняя полая вена
184. Надпочечник, нижняя полая вена
Продольное сканирование левого надпочечника
185. Почка, селезенка
186. Надпочечник, почка, селезенка
187. Надпочечник, почка, селезенка
188. Селезенка, хвост поджелудочной железы
Части надпочечников
189. Слои надпочечника
190. Слои надпочечника

177. Почки, печень

178. Почки, печень
Продольное сканирование правого надпочечника справа налево

Правый надпочечник расположен над верхним полюсом почки, медиальнее и кпереди от правой почки.

Для поиска правого надпочечника применяется продольное сканирование через переднюю поверхность почки.

179. Надпочечник, печень

180. Надпочечник, нижняя полая вена, почечная артерия
Продольное сканирование правого надпочечника справа налево

Правый надпочечник визуализируется при сканировании почки справа - налево сразу после «исчезновения» изображения верхнего полюса почки.

Правый надпочечник лежит позади нижней полой вены! над почечными сосудами.

181. Почки, нижняя полая вена

182. Почки, почечная вена, нижняя полая вена
Поперечное сканирование правого надпочечника

Анатомическими ориентирами для идентификации правого надпочечника при поперечном сканировании служат почка, нижняя поверхность печени и нижняя полая вена.

Область расположения надпочечника находится над пульсирующими почечными сосудами.

183. Почечная вена, нижняя полая вена

184. Надпочечник, нижняя полая вена
Поперечное сканирование правого надпочечника

Правый надпочечник идентифицируется сразу выше полюса почки, латеральнее и кзади от нижней полой вены.

Правый надпочечник выглядит как небольшое гипоэхогенное образование треугольной формы с эхогенными краями.

185. Почка, селезенка

186. Надпочечник, почка, селезенка
Продольное сканирование левого надпочечника

Левый надпочечник визуализируется обычно с большим трудом, чем правый.

Левый надпочечник идентифицируется между верхним полюсом почки, селезенкой и аортой.

187. Надпочечник, почка, селезенка

188. Селезенка, хвост поджелудочной железы
Продольное сканирование левого надпочечника

Нередко левый надпочечник имеет форму полумесяца.

Левый надпочечник часто расположен относительно далеко от ворот почки.

189. Слои надпочечника

190. Слои надпочечника
Части надпочечников

В ультразвуковом изображении надпочечника можно различить три слоя: два гипоэхогенных наружных слоя и средний гиперэхогенный слой.

Кора надпочечника выглядит гипоэхогенной, мозговое вещество - гиперэхогенно.
Поперечное сканирование кардиального отдела сверху вниз
191. Пищевод, аорта, печень
192. Кардиальный отдел желудка, печень
193. Кардиальный отдел желудка, тело желудка, аорта, печень
194. Тело желудка, аорта, печень
Продольное сканирование желудка справа налево
195. Пищевод, аорта, печень
196. Пищевод, аорта, печень
197. Кардиальный отдел желудка, печень
198. Тело желудка, печень
Продольное сканирование желудка слева направо
199. Тело желудка, печень
200. Антральный отдел желудка, печень, поджелудочная железа
201. Антральный отдел желудка, печень, поджелудочная железа
202. Пилорический отдел желудка, поджелудочная железа, печень
203. Луковица двенадцатиперстной кишки, печень, нижняя полая вена
204. Двенадцатиперстная кишка, желчный пузырь, нижняя полая вена
Поперечное сканирование антрального отдела и двенадцатиперстной кишки сверху вниз
205. Антральный отдел желудка, печень, поджелудочная железа
206. Антральный отдел желудка, двенадцатиперстная кишка, печень, поджелудочная железа, желчный пузырь
207. Антральный отдел желудка, двенадцатиперстная кишка, печень, поджелудочная железа, желчный пузырь
208. Антральный отдел желудка, желчный пузырь
Части желудка
209. Слои стенки желудка
210. Слои стенки желудка
211. Складки желудка
212. Складки желудка

191. Пищевод, аорта, печень

192. Кардиальный отдел желудка, печень
Поперечное сканирование кардиального отдела сверху вниз

Пищеводно-желудочное соединение визуализируется между печенью, аортой и ножками диафрагмы.

При поперечном сканировании кардиальный отдел желудка имеет типичную треугольную форму.

193. Кардиальный отдел желудка, тело желудка, аорта, печень

194. Тело желудка, аорта, печень
Поперечное сканирование кардиального отдела сверху вниз

В месте перехода кардиального отдела в тело желудка обычно визуализируется неоднородное солидное, жидкостное и газообразное содержимое.

Участок тела желудка, расположенный ниже кардии, лежит напротив аорты.

195. Пищевод, аорта, печень

196. Пищевод, аорта, печень
Продольное сканирование желудка справа налево

Абдоминальные сегменты! пищевода идентифицируются сразу кпереди и справа от аорты.

Пищевод и кардиальный отдел желудка расположены между печенью и аортой.

197. Кардиальный отдел желудка, печень

198. Тело желудка, печень
Продольное сканирование желудка справа налево

Первым шагом в идентификации кардиального отдела и тела желудка является визуализация пищеводно-желудочного соединения.

Если исследование проводится после приема пациентом пищи, то желудок выглядит гетерогенным образованием, расположенным позади левой доли печени.

199. Тело желудка, печень

200. Антральный отдел желудка, печень, поджелудочная железа
Продольное сканирование желудка слева направо

Тело желудка расположено позади левой доли печени. Если желудок заполнен жидкостью, он легко идентифицируется. Пустой желудок визуализируется с трудом.

При продольном сканировании верхней трети средней линии живота визуализируется характерная триада: желудок, печень, поджелудочная железа.

201. Антральный отдел желудка, печень, поджелудочная железа

202. Пилорический отдел желудка, поджелудочная железа, печень
Продольное сканирование желудка слева направо

Наилучшим образом антральный отдел желудка визуализируется при продольном сканировании через нижний край печени.

Пилорический отдел выглядит как тонкостенное мышечное образование, расположенное кпереди от головки поджелудочной железы!.

203. Луковица двенадцатиперстной кишки, печень, нижняя полая вена

204. Двенадцатиперстная кишка, желчный пузырь, нижняя полая вена
Продольное сканирование желудка слева направо

Луковица двенадцатиперстной кишки направлена латерально и кверху.

Следующий за луковицей отдел двенадцатиперстной кишки визуализируется позади желчного пузыря.

205. Антральный отдел желудка, печень, поджелудочная железа

206. Антральный отдел желудка, двенадцатиперстная кишка, печень, поджелудочная железа, желчный пузырь
Поперечное сканирование антрального отдела и двенадцатиперстной кишки сверху вниз

Поджелудочная железа лежит напротив задней стенки желудка.

Часть антрального отдела желудка, располагающаяся между печенью и поджелудочной железой, визуализируется с трудом.

207. Антральный отдел желудка, двенадцатиперстная кишка, печень, поджелудочная железа, желчный пузырь

208. Антральный отдел желудка, желчный пузырь
Поперечное сканирование антрального отдела и двенадцатиперстной кишки сверху вниз

Следующая за луковицей часть двенадцатиперстной кишки расположена между печенью, желчным пузырем, нижней полой веной и головкой поджелудочной железы.

Антральный отдел желудка может быть расположен достаточно глубоко, особенно, если желудок наполнен, а пациент находится в вертикальном положении.

209. Слои стенки желудка

210. Слои стенки желудка
Части желудка

При использовании высококачественной аппаратуры! и благоприятных условиях сканирования в стенке желудка можно различить пять слоев.

Наилучшим для дифференциации слоев стенки желудка является сканирование через антральный отдел.

211. Складки желудка

212. Складки желудка
Части желудка

Складки слизистой оболочки желудка наилучшим образом визуализируются при состоянии пациента натощак.

При поперечном сканировании складки слизистой оболочки желудка могут быть ошибочно приняты! за слои стенки органа.
Мочевой пузырь при продольном сканировании
213. Мочевой пузырь, предстательная железа, прямая кишка
214. Мочевой пузырь, устье мочеточника, предстательная железа, прямая кишка
215. Мочевой пузырь, прямая кишка
216. Мочевой пузырь, петли кишечника
Части мочевого пузыря
217. Мочевой пузырь, устья мочеточников
218. Мочевой пузырь, струйка мочи из мочеточника

213. Мочевой пузырь, предстательная железа, прямая кишка

214. Мочевой пузырь, устье мочеточника, предстательная железа, прямая кишка
Мочевой пузырь при продольном сканировании

Наполненный мочевой пузырь при продольном сканировании выглядит как анэхогенная структура треугольной формы.

При сканировании по средней линии в сагиттальной плоскости внутренние половые органы визуализируются позади мочевого пузыря

215. Мочевой пузырь, прямая кишка

216. Мочевой пузырь, петли кишечника
Мочевой пузырь при продольном сканировании

Передняя стенка мочевого пузыря плотно соединена с передней брюшной стенкой везико-умбиликальной фасцией, которая препятствует проникновению петель кишечника между брюшной стенкой и передней поверхностью наполненного мочевого пузыря.

Петли кишечника, содержащие газ, визуализируются позади мочевого пузыря.

217. Мочевой пузырь, устья мочеточников

218. Мочевой пузырь, струйка мочи из мочеточника
Части мочевого пузыря

Устья мочеточников визуализируются как тубулярные структуры, расположенные на задней стенке мочевого пузыря.

При ультразвуковом исследовании может быть визуализирован выброс мочи из устья мочеточника в мочевой пузырь.
ЖЕЛЕЗА
Предстательная железа при продольном сканировании
219. Предстательная железа, прямая кишка, мочевой пузырь
220. Предстательная железа, прямая кишка, мочевой пузырь
221. Предстательная железа, семенные пузырьки
222. Предстательная железа, семенные пузырьки
Предстательная железа при поперечном сканировании
223. Предстательная железа, уретра, мочевой пузырь
224. Предстательная железа, уретра, мочевой пузырь
225. Предстательная железа, мочевой пузырь
226. Семенные пузырьки, мочевой пузырь

219. Предстательная железа, прямая кишка, мочевой пузырь

218 . Предстательная железа, прямая кишка, мочевой пузырь
Предстательная железа при продольном сканировании

При продольном сканировании изображение предстательной железы! имеет форму луковицы.

Позади предстательной железы! визуализируется прямая кишка, просвет которой обычно заполнен газом.

221. Предстательная железа, семенные пузырьки

220 . Предстательная железа, семенные пузырьки
Предстательная железа при продольном сканировании

Семенные пузырьки прилежат к мочевому пузырю на всем своем протяжении.

Семенные пузырьки расположены! сбоку и сверху предстательной железы.

223. Предстательная железа, уретра, мочевой пузырь

222 . Предстательная железа, уретра, мочевой пузырь
Предстательная железа при поперечном сканировании

Внутрипростатическая часть мочеиспускательного канала может быть визуализирована как гипоэхогенная структура округлой формы.

При поперечном сечении предстательная железа визуализируется как структура, похожая на плод каштана.

225. Предстательная железа, мочевой пузырь

224 . Семенные пузырьки, мочевой пузырь
Предстательная железа при поперечном сканировании

Средняя доля предстательной железы! с мочеточником могут делать контур задней стенки мочевого пузыря волнообразным.

Семенные пузырьки (длина которых составляет 5 см, а ширина 1 см) могут быть визуализированы! по задней стенке мочевого пузыря.
МАТКА
Uterus in Longitudinal Sections
227. Влагалище, мочевой пузырь
228. Влагалище, матка, мочевой пузырь
229. Влагалище, матка, мочевой пузырь
230. Матка, мочевой пузырь
231. Матка, яичник, мочевой пузырь
232. Мочевой пузырь, яичник
Uterus in Transverse Sections
233. Влагалище, мочевой пузырь, прямая кишка
234. Матка, мочевой пузырь, прямая кишка
235. Матка, мочевой пузырь, прямая кишка, яичник
236. Матка, мочевой пузырь, прямая кишка, яичники

227. Влагалище, мочевой пузырь

227 . Влагалище, матка, мочевой пузырь
Матка при продольном сканировании

Влагалище визуализируется по задней стенке мочевого пузыря в виде продолговатой гипоэхогенной структуры! с гиперэхогенной полоской в центре

Полость матки может быть визуализирована при ультразвуковом исследовании во время менструации или беременности

229. Влагалище, матка, мочевой пузырь

229 . Матка, мочевой пузырь
Матка при продольном сканировании

В изображении матки можно различить дно, тело и шейку.

В большинстве случаев матка находится в антефлексии и располагается краниально и кзади относительно мочевого пузыря между петлями тонкого кишечника и прямой кишкой. Угол между телом и шейкой матки весьма вариабелен.

231. Матка, яичник, мочевой пузырь

231 . Мочевой пузырь, яичник
Матка при продольном сканировании

При сканировании вдоль боковой поверхности тела матки яичник может быть визуализирован у верхнего ее края.

При наполненном мочевом пузыре яичники визуализируются латеральнее его верхнего края.

233. Влагалище, мочевой пузырь, прямая кишка

233 . Матка, мочевой пузырь, прямая кишка
Матка при поперечном сканировании

При поперечном сканировании полость влагалища визуализируется как полосовидная структура.

При поперечном сканировании (спереди назад) полости малого таза последовательно визуализируются следующие структуры: мочевой пузырь, пузырно-маточное углубление, матка, прямая кишка.

235. Матка, мочевой пузырь, прямая кишка, яичник

235 . Матка, мочевой пузырь, прямая кишка, яичники
Матка при поперечном сканировании

Яичники обычно визуализируются латеральнее матки на уровне ее тела.

Яичники определяются как структуры! продолговатой формы! длиной до 3 см. Их расположение чрезвычайно вариабельно.
ЖЕЛЕЗА
Щитовидная железа при продольном сканировании
237. Перешеек щитовидной железы
238. Левая доля щитовидной железы, грудино-подъязычная мышца, грудино-щитовидная мышца
239. Левая доля щитовидной железы, грудино-подъязычная мышца, грудино-щитовидная мышца, грудино-ключично-сосцевидная мышца, общая сонная артерия, внутренняя яремная вена
240. Левая доля щитовидной железы, грудино-ключично-сосцевидная мышца, общая сонная артерия, внутренняя яремная вена
Щитовидная железа при поперечном сканировании
241. Правая доля щитовидной железы, грудино-ключично-сосцевидная мышца, общая сонная артерия, внутренняя яремная вена
242. Левая доля щитовидной железы, грудино-ключично-сосцевидная мышца, лопаточно-подъязычная мышца, общая сонная артерия, внутренняя яремная вена
243. Правая доля щитовидной железы, грудино-ключично-сосцевидная мышца, лопаточно-подъязычная мышца, грудино-подъязычная мышца, общая сонная артерия, внутренняя яремная вена
244. Правая доля щитовидной железы, грудино-ключично-сосцевидная мышца, лопаточно-подъязычная мышца, грудино-подъязычная мышца, общая сонная артерия, внутренняя яремная вена

237. Перешеек щитовидной железы

238. Левая доля щитовидной железы, грудино-подъязычная мышца, грудино-щитовидная мышца
Щитовидная железа при продольном сканировании

Трахея расположена сразу за перешейком щитовидной железы:

Отдельные кровеносные сосуды! в паренхиме щитовидной железы! визуализируются только спорадически.

239. Левая доля щитовидной железы, грудино-подъязычная мышца, грудино-щитовидная мышца, грудино-ключично-сосцевидная мышца, общая сонная артерия, внутренняя яремная вена

240. Левая доля щитовидной железы, грудино-ключично-сосцевидная мышца, общая сонная артерия, внутренняя яремная вена
Щитовидная железа при продольном сканировании

Грудино-подъязычная и грудино-щитовидная мышцы! расположены! кпереди от щитовидной железы.

Грудино-ключично-сосцевидная мышца расположена кпереди и латерально от щитовидной железы.

241. Правая доля щитовидной железы, грудино-ключично-сосцевидная мышца, общая сонная артерия, внутренняя яремная вена

242. Левая доля щитовидной железы, грудино-ключично-сосцевидная мышца, лопаточно-подъязычная мышца, общая сонная артерия, внутренняя яремная вена
Щитовидная железа при поперечном сканировании

Магистральные сосуды шеи проходят вдоль щитовидной железы в непосредственной близости от нее.

Щитовидная железа имеет вид бабочки, ее края сглажены, а паренхима обладает средней эхогенностью.

243. Правая доля щитовидной железы, грудино-ключично-сосцевидная мышца, лопаточно-подъязычная мышца, грудино-подъязычная мышца, общая сонная артерия, внутренняя яремная вена

244. Правая доля щитовидной железы, грудино-ключично-сосцевидная мышца, лопаточно-подъязычная мышца, грудино-подъязычная мышца, общая сонная артерия, внутренняя яремная вена
Щитовидная железа при поперечном сканировании

Общая сонная артерия расположена кзади и латерально. Внутренняя яремная вена расположена латерально или кпереди и латерально.

Паращитовидные железы расположены позади верхнего и нижнего полюсов щитовидной железы. Если паращитовидные железы не увеличены, при ультразвуковом исследовании они не визуализируются.
282 Нормальные сонографические данные для поджелудочной железы, селезенки, почки

Нормальные сонографические данные для предстательной и щитовидной желез

Нормальные сонографические данные для магистральных сосудов

Нормальные сонографические данные для печени, желчного пузыря и общего желчного протока

ЦИФРАМИ ОБОЗНАЧЕНЫ
1 Аорта
2 Подвздошная артерия
3 Чревный ствол
4 Печеночная артерия
5 Селезеночная артерия
6 Левая желудочная артерия
7 Верхняя брыжеечная артерия
8 Правая почечная артерия
9 Левая почечная артерия
10 Нижняя половая вена
11 Левая печеночная вена
12 Средняя печеночная вена
13 Правая печеночная вена
14 Правая почечная вена
15 Левая почечная вена
16 Подвздошная вена
17 Воротная вена
18 Селезеночная вена
19 Верхняя брыжеечная вена
20 Правая доля печени
21 Левая доля печени
22 Квадратная доля
23 Хвостатая доля
24 Круглая связка
25 Венозная связка
26 Латеральный сегмент
27 Медиальный сегмент
28 Передний сегмент
29 Задний сегмент
30 Желчный пузырь
31 Дно желчного пузыря
32 Тело желчного пузыря
33 Шейка желчного пузыря
34 Воронка
35 Спиральные складки
36 Общий желчный проток
37 Пузырный проток
40 Поджелудочная железа
41 Головка поджелудочной железы
42 Тело поджелудочной железы
43 Хвост поджелудочной железы
44 Крючковидный отросток поджелудочной железы
45 Панкреатический проток
50 Селезенка
51 Дополнительная селезенка
60 Правая почка
61 Левая почка
62 Корковое вещество почки
63 Почечные колонки
64 Пирамиды
65 Чашечки
66 Мочеточник
67 -
68 -
69 Надпочечник
70 Желудок
71 Дно желудка
72 Тело желудка
73 Антральный отдел желудка
74 Кардиальный отдел желудка
75 Луковица двенадцатиперстной кишки
76 Двенадцатиперстная кишка
77 Тонкая кишка
78 Печеночный изгиб ободочной кишки
79 Селезеночный изгиб ободочной кишки
80 Мочевой пузырь
81 Устье уретры
82 Мочеиспускательный канал
83 Предстательная железа
84 Семенной пузырек
85 Матка
86 Влагалище
87 Правый яичник
88 Левый яичник
89 Прямая кишка
90 Позвоночник
91 Симфиз
92 Акустическая тень
93 Газ
94 Артефакт
95 Поясничная мышца
96 Диафрагма
97 Кости таза
98 Сердце
100 Щитовидная железа
101 Грудино-подъязычная мышца
102 Грудино-щитовидная мышца
103 грудино-ключично-сосцевидная мышца
104 Лопаточно-подъязычная мышца
105 Внутренняя яремная вена
106 Общая сонная артерия
107 Хрящевое кольцо трахеи
